סגירת מעגל מרגשת בשערי צדק: המנתח שהציל את האם – הציל 21 שנה אחר כך גם את בנה
27.11.25 / 08:18
בהפרש של 21 שנים בדיוק: ד”ר דני פינק, אז מנתח צעיר בשערי צדק, הציל את חייה של אישה בהריון שסבלה מקרע באבי העורקים — וכעבור שני עשורים הוזעק שוב כדי להציל את חיי בנה, הלוחם הצעיר, שלקה באותו מצב נדיר ותורשתי
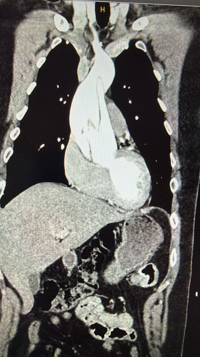
בליל ראש השנה תשס"ה, 16 בספטמבר 2004, הגיעה למרכז הרפואי שערי צדק אישה צעירה בשבוע ה-25 להריון כאשר היא סובלת מקרע מסכן חיים באבי העורקים.
אל בית החולים הוקפץ מנתח לב צעיר, ד"ר דני פינק, על מנת לתת טיפול מהיר ומציל חיים למטופלת.

לאחר ייצוב מצבה והחשש לחיי העובר הוחלט על ניתוח קיסרי דחוף. התינוק, שנולד בשבוע ה-29, הועבר לפגייה ואושפז במשך שלושה חודשים. לאחר הטיפול השתחררה האם במצב טוב וכך גם בנה, א'.
בבדיקות שנעשו לאחר מכן אובחנה האם עם תסמונת מרפן (תסמונת תורשתית הפוגעת בין היתר בכלי הדם ובלב) כאשר הבן אובחן גם הוא עם אותה תסמונת גנטית.
במשך השנים הבן והאם היו במעקב כדי למנוע כל החמרה במצבם.
בעקבות החמרה במצבו של א' שהובילה לחשש לנזק בדופן הלב, 21 שנים לאחר מכן, ב-26 בספטמבר 2025, הגיע א', כיום קצין ביחידה מסווגת בצה"ל, לשערי צדק לצורך ביצוע ניתוח דחוף.
את הניתוח של א' ביצע גם ד"ר דני פינק, שניתח את האם בהיותה בהיריון לפני 21 שנים, וכיום מנהל את המחלקה לכירורגיית לב במרכז הרפואי שערי צדק.
הניתוח עבר בהצלחה, א' השתחרר במצב טוב ונמצא בשיקום לקראת חזרתו לשירות בצה"ל.

מנהל המחלקה לכירורגיית לב במרכז הרפואי שערי צדק, ד"ר דני פינק: "לפני 21 שנים, באמצע ארוחת ראש השנה, הוזעקתי ככונן צעיר לבית החולים בעקבות מקרה של אישה בהריון עם קרע באבי העורקים. היה לי ולכל הצוות ברור שאנחנו עושים הכל כדי להציל אותה ואת העובר. יעל (שם בדוי) היא גיבורה ואמא לוחמת שנלחמה על חייה ועל חייה בנה, ולא נתנה לשום מגבלה לעצור אותה. השנה (21 שנים אחרי), קצת אחרי ראש השנה, שוב קיבלתי טלפון שא', התינוק החמוד מלפני 21 שנים זקוק לניתוח דחוף. אחרי הניתוח א' התאושש מהר ומתקדם יפה מאוד לקראת חזרה לפעילות מלאה. זו סגירת מעגל מרגשת שהובילה לכך שכבר הפכנו למשפחה. מאחל ליעל ולא' היקרים המון בריאות ושמחה".
א' מספר "ידעתי במשך השנים על סיפור הלידה המיוחד שלי, ועל התסמונת שיש לי. לא נתתי לה לעצור אותי בשום שלב בחיים. הייתי כל השנים במעקב אבל לא היו שינויים במצבי. 21 שנים אחרי, מספר ימים לפני שהייתי צריך לעבור בדיקת מעקב שגרתית חשתי בכאבים חריגים באופן קיצוני והגעתי לביה״ח שערי צדק. אבחון מהיר בביה"ח זיהה קרע באבי העורקים, ושוב הוזעק מביתו ד״ר פינק לניתוח חירום, שהציל את חיי בדיוק כמו שקרה 21 שנה קודם לכן שהציל את חייה של אימי".
יעל (שם בדוי), אימו של א', מספרת "לפני 21 שנים הגעתי במצב מאוד קשה לשערי צדק, והייתי בסכנת חיים ממשית. הטיפול של ד"ר פינק וכל הצוותים הציל את חיי ואת החיים של א'. ידענו כל השנים שביום מן הימים א' יצטרך גם לעבור את הניתוח בלב, אבל זה מעולם לא עצר אותנו. לא נתנו לתסמונת לעצור אותנו, א' עשה על מה שחבריו עשו, התגייס ליחידה חשובה וסיים קורס קצינים בהצלחה והוא גאווה גדולה שלנו. לפני 21 שנים כשפגשתי את ד"ר פינק לראשונה לא האמנתי שהקשר איתו יהיה כה חזק ולאורך כל כך הרב שנים, וידעתי שאם א' יזקק לניתוח- ד"ר פינק יהיה המנתח. אני רוצה להודות לד"ר פינק ולכל הצוותים על 21 שנים של ליווי וחברות שממש הצילה את חיינו."

